Syarifah Sakinah

Sudut Depan
Testing testing

Gigi Sahaja


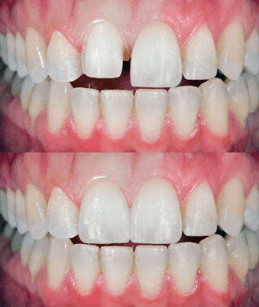
Syarifah Sakinah


Sudut Depan

Gigi Sahaja


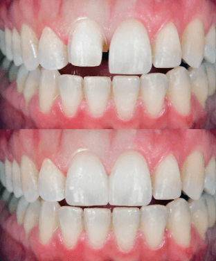
Syarifah pakai braces modern
Jenis Braces : Modern
Duration : 10 bulan
Syarifah pakai braces modern
Jenis Braces : Modern Duration : 10 bulan

Testing testing








Jenis Braces : Modern
Duration : 10 bulan
Jenis Braces : Modern Duration : 10 bulan